
元芳,临床工作中,经常被患者提问,王医生,“我这个肺磨玻璃结节,生长速度快不快?随访几个月,会不会突然变成晚期肺癌?
GGO早期肺癌的生长呈惰性表现,长大一倍所用的时间较长,故GGO的随访时间一般至少为3年。其实,只有20%的纯GGO在随访过程中病灶会变大,或变成混合型GGO;而只有40%的混合型GGO在随访中增大,或实变区增大,而且这个过程相对缓慢。
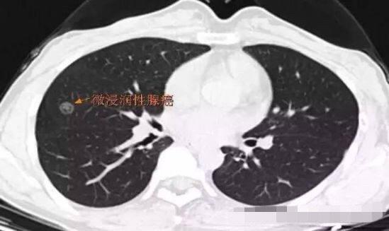
肺磨玻璃影肯定是从小逐渐长到大的,不会一开始就变成巨无霸。在初期(<1厘米)往往很纯、密度很低、圆脸、边界也清晰,这时还不一定是恶性的,可以称为纯GGO,切除后多证实为腺瘤样不典型增生(AAH,癌前病变),或者是原位腺癌(AIS,对周围血管间质没有侵犯,不会转移,5年生存率100%),甚至极端情况下也可能是微浸润腺癌(MIA,对周围血管间质侵犯<5毫米,也不会转移,切除后,5年生存率100%)。
当逐渐长大变坏时,可能会引起实性成分增加,变得不那么纯了,称为混合性GGO;有时,还会出现分叶、毛刺、空泡,胸膜凹陷,血管密集等改变,这时多数已经是恶性了,称为浸润性腺癌。可以进入人类的血管,发生肺内或全身转移。
元芳,你看实际上,我们过去很多随访的病人,特别是病灶直径小于5mm的,多数患者并不会长大,即使少数生长的患者中,纯磨玻璃结节一般生长也非常缓慢,个别病人,生长速度在每年1mm左右。
因此,在纯磨玻璃结节随访过程中,是非常安全的。
对于混合型磨玻璃结节,小于8mm的磨玻璃结节随访也是比较安全的,每3个月随访一次,不会影响手术效果。临床上,一般而言,不会出现,目前是小磨玻璃结节,过3个月就变成晚期肺癌,而无法手术的状况。
病例1 .
2014年 首次发现右肺上叶GGO,病灶直径8.3毫米, 2016年复查发现右肺上叶GGO,病灶直径12.4毫米。2年大约生长4毫米,平均1年生长2毫米。2016年手术病理结果:浸润性腺癌。

2014年 病灶8.3毫米

2016年病灶直径12.4毫米
病例2
随访3年,GGO直径基本没有变化

2013年12月

2014年7月

2015年5月

2016年10月
病例3
突然出现的磨玻璃结节

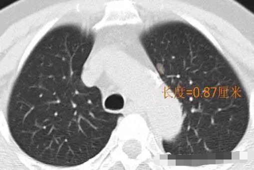
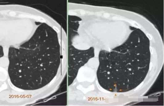
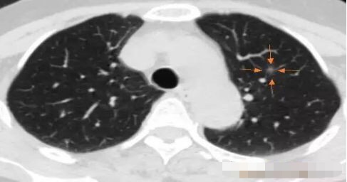
病例4
2013年发现, 每年随访,随访至2016年,病灶逐步增大,2013年5毫米大小,2016年11毫米,3年生长6毫米,平均每年2毫米





病例5
随访7年,左肺上叶磨玻璃结节病灶(8毫米)没有明显变化。

第一次CT 2009年7月27日

2016年9月2日
三、局灶性磨玻璃影长的快不快?
薄层CT配合三维重建,以及定期动态CT观察有助于鉴别良恶性GGO:伴有明显分叶、空泡、胸膜凹陷征或明显实性成分(荷包蛋,中间厚,外周薄)的GGO提示恶性病变;随访过程中病灶消散或明显缩小者考虑炎症反应可能;随访过程中,如GGO增大,病灶密度变实,或兼有肿瘤微血管CT成像征时,提示恶性病变。
以下类型的GGO都要当心了:
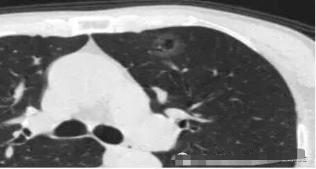
空泡型GGO


胸膜凹陷

支气管充气征

荷包蛋型


花瓣样的GGO

牛眼样GGO

空洞型GGO(空洞比空泡大一些)

随访中逐步增大,变实的磨玻璃结节

肺气肿背景下的磨玻璃结节
肺气肿会导致肺泡腔扩张,肺气肿背景下的磨玻璃结节一定要非常谨慎,否则容易漏诊或误诊。

密度较淡较大的磨玻璃结节


王剑飞
肿瘤科主任 副主任医师
毕业于浙江医科大学,从事外科临床工作二十余年,曾于浙一医院肝胆外科及邵逸夫医院微创中心进修深造,熟练掌握外科常见病的诊断与手术治疗,擅长甲状腺、腮腺、乳腺等良、恶性肿瘤的手术治疗及食管、胃肠等消化道肿瘤的外科与综合治疗。近年来,开展肿瘤的微创手术,并积累了丰富的临床经验。2016年,荣获浙江省“十佳敬业医师”荣誉称号。