
孩子们普遍出现剧烈的咳嗽和反复高热
不少人在门诊输液多天
还做了雾化也不见好
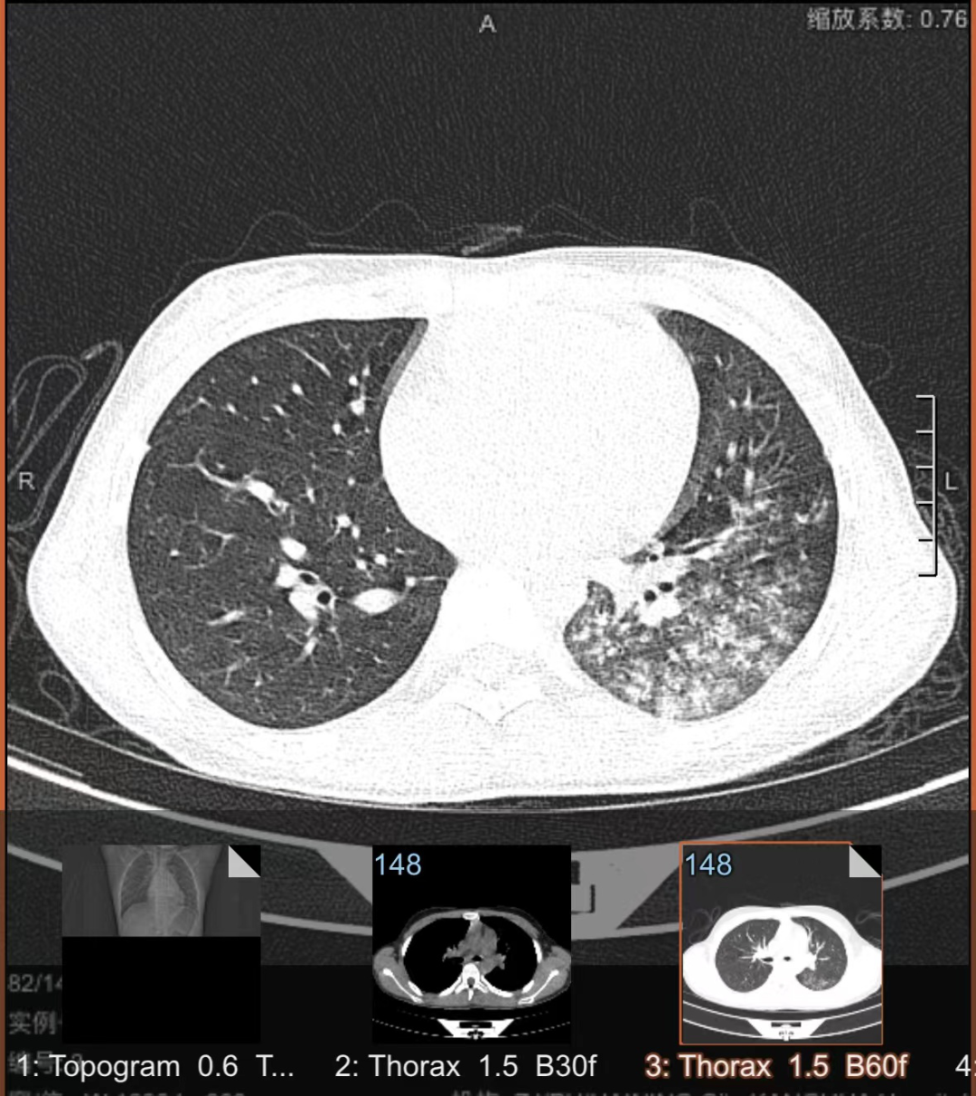
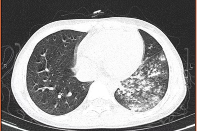
一拍片发现肺部出现了炎症
还融合成了片状
明明以前发烧咳嗽吃吃药就好了
这次我们也及时带她来看了
盐水都挂上了
怎么这次还变成肺炎了?
周晓琪主任表示,最近这段时间类似疾病的小朋友很多,多数是肺炎支原体肺炎。
肺炎支原体不属于细菌,也不属于病毒,是一种介于细菌和病毒之间、目前发现的自然界中能独立存在的最小微生物。
肺炎支原体无细胞壁结构,对作用于细胞壁的抗菌药物天然耐药,青霉素类、头孢类等抗生素,都无法杀死它。
支原体呼吸道感染临床表现呈多样性,可从无无症状到鼻咽炎、鼻窦炎、中耳炎、扁桃体炎、气管支气管炎和肺炎等,肺炎支原体肺炎的主要临床表现是发热、咳嗽、肺部体征与临床症状及影像所见不一致。
除呼吸系统外,支原体肺炎可伴发多系统、多器官损害。皮肤损害可表现为斑丘疹、结节性红斑等,胃肠道系统多以呕吐、腹泻及肝功损害为主,血液系统多以溶血性贫血多发,中枢神经系统损害可见多发性神经根炎、脑膜脑炎及小脑损伤等。
大多数情况下,感染后没有任何症状或者只有轻微的咳嗽、发热、咽痛等上呼吸道感染症状。
只有少部分感染者会发展为肺炎。肺炎支原体肺炎(MPP)以发热、咳嗽为主要临床表现,可伴有头痛、流涕、咽痛、耳痛等。发热以中高热为主,持续高热者预示病情重。咳嗽较为剧烈,可类似百日咳样咳嗽,婴幼儿以喘息为主要表现多见。肺部早期体征可不明显,随着病情进展可出现呼吸音降低和干、湿性啰音。
周晓琪主任提醒:
如果孩子发烧伴有剧烈咳嗽并且久咳不愈的情况,家长要引起重视,积极就医,尽快进行检查明确病因,然后再根据医嘱进行治疗,切忌盲目用药。
具有传染性,跟大多数呼吸道疾病一样,可通过空气飞沫、接触等传染,儿童较成人更容易被传染。
02、勤通风,保持室内空气新鲜。
03、气候骤变外出时,要及时增添衣服,以防受寒感冒。
04、避免去人群密集的公共场所,必须去时,务必戴好口罩。
05、避免与已经患呼吸道感染的患者接触,如果家中有人已经患呼吸道感染,最好与小朋友进行隔离。
儿科专家及资深医师介绍:
朱国清
副院长
中医儿科专家
朱氏儿科第四代传人,从事儿科工作近四十年,应用现代医学和祖国传统中医相结合,在婴儿腹泻、呼吸道肺炎及哮喘病的防治中独帜一面,在本市及周边地区如桐乡、嘉兴、海盐等地有较高的知名度。
周晓琪
儿科主任
副主任医师
从事儿科工作二十余年,曾在省儿童医院进修一年,对小儿常见病多发病及疑难危重病症的诊治有丰富的临床经验。擅长小儿肺炎、小儿腹泻、泌尿系统感染等疾病的诊治。
吴高恒
副主任医师
1983年本科毕业于温州医科大学。1989年经世界卫生组织安排,在新加坡国立大学医院进修新生儿(NICU)、儿科一年。从事儿科专业35年。退休前任中华医学会嘉兴市儿科分会委员,在海宁市妇幼保健院工作期间,一直是儿科学科带头人。全面负责病区和门诊新生儿、儿科抢救和诊疗工作。有丰富的临床经验,特别擅长治疗儿科呼吸系统和消化系统以及各种疑难杂症诊治、新生儿重症监护和新生儿危重疾病的诊治抢救工作。
张姚娟
儿科病区副主任
副主任中医师
毕业于浙江中医药大学,曾在浙江省中医院儿科、嘉兴市第一人民医院儿科内分泌专科进修学习,积极参加儿科临床相关以及儿童生长发育的学习班及培训班。从事儿科临床工作近20年,对儿科常见病、多发病以及疑难杂症积累了丰富的临床经验。近年来跟随上海瑞金医院儿童内分泌专家学习后开展儿童生长发育专科门诊,对矮小症、性早熟、肥胖症等积累了一定的经验,同时开展这方面的科普讲座。
儿童生长发育门诊时间:周六上午
朱列凡
主治医师
海宁朱氏儿科第五代传人,从事儿科临床工作10年,2020年赴浙江大学医学院附属儿童医院进修一年,专项进修“呼吸内科、内分泌科、PICU”,擅长儿科各种常见疾病的诊断和治疗,包括肺炎、毛细支气管炎、哮喘、反复呼吸道感染、过敏性鼻炎、鼻窦炎、小儿急慢性腹泻、胃肠炎、儿童矮小、性早熟、肥胖症等发育异常、以及各种儿童的感染发热性疾病。