“哎呀”,随着低低的惊呼后是一阵痛苦的呻吟,李先生(化名)匆匆跑出房间,见客厅里的父亲正半躺于地——左手抚着右侧大手臂,表情十分痛苦。
“爸,你没事儿吧?”李先生上前扶起父亲,小心查看他的右手,却发现父亲本就瘦弱的右手臂疼得完全无法触碰,“我马上带你去医院!”他急急找来车钥匙,搀着父亲一路快行……
当多发骨折遇上小儿麻痹
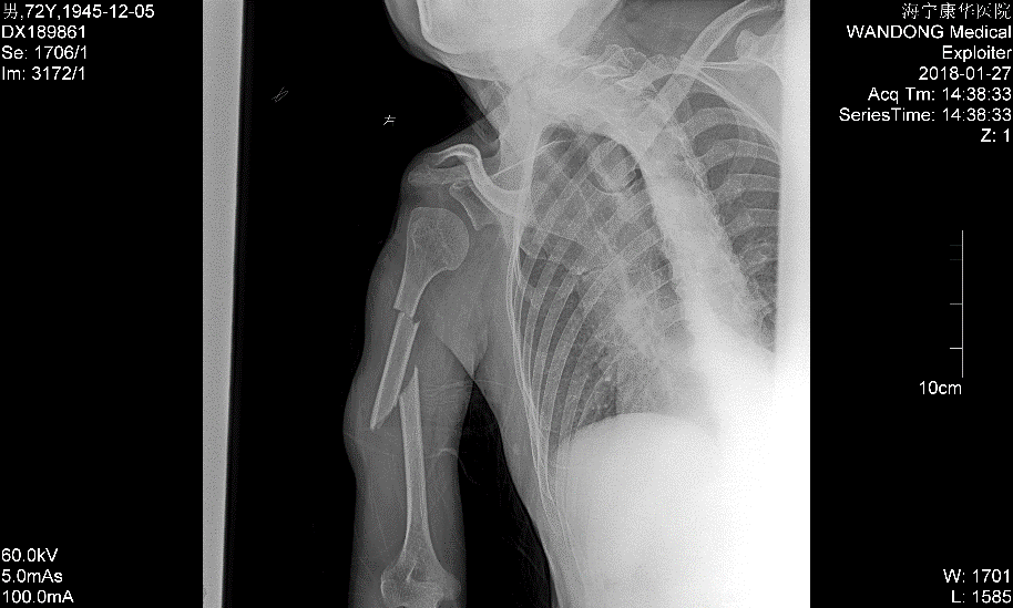
下午3点,李先生带着父亲找到了康华医院骨二科主任、副主任医师陈杰,在了解意外经过后,仔细查看了李大伯的伤势,并安排了拍片检查。

“片子上看属于右肱骨多段骨折,也就是这里和这里,两个地方都骨折了”,陈主任细致地解释着,“一般应该行切开内固定手术,但多段骨折手术皮肤切口较长,剥离广,血供破坏多,骨头愈合也困难。由于大伯右手臂本身有小儿麻痹症,上肢较正常略细,考虑再三,建议试行手法复位夹板外固定治疗,经过与患者及家属的沟通,其欣然接受保守治疗,能不开刀最好。”
杉树皮外固定法
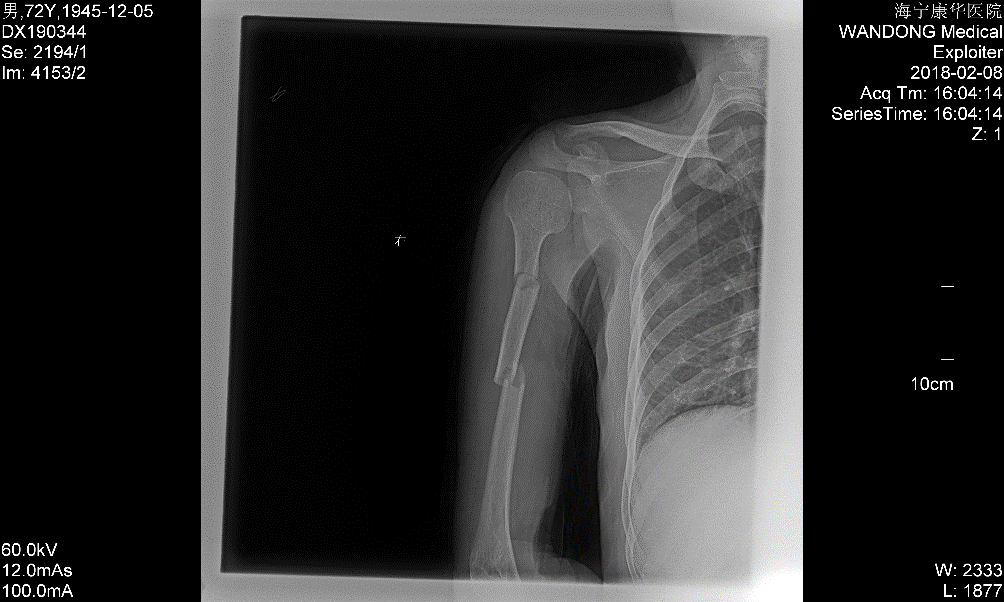
“根据大伯的状况,保守治疗的话,可以试试杉树皮外固定,但是这个固定时间会比较长,而且大伯现在是多段骨折,期间移位风险会比较高。”陈主任解释道。
“先试试吧,实在没办法再考虑手术。”李大伯跟儿子达成一致,陈主任便做了手法复位杉树皮外固定的治疗。
“一星期以后再来拍片复查,根据情况要进行位置调整”,陈杰叮嘱过李大伯后再次提醒李先生,并列出不少注意事项,生怕李大伯的手臂再出状况。

一周后,X片显示骨折位置同前,并没有出现移位情况,李先生跟李大伯都面露喜色,陈主任也略略松了口气,又重新为李大伯的外固定进行了调整加固。
因人而异,精准施治
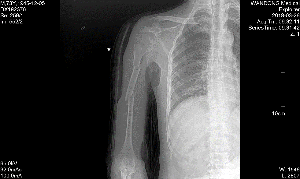
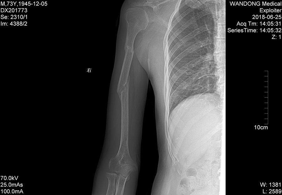
经过半个月小心治疗后,李大伯的手臂肿胀消退,伤情稳定下来,而后继续绑固治疗并辅助相关药物。8周后再次拍片,伤肢已经没有疼痛感,经拍片显示有较多骨痂形成,可以拆除夹板了。又再次小心嘱咐李大伯,要逐渐加强伤肢的功能训练,避免过早用力,估计半年左右就能痊愈了。

“最适合的治疗才是最好的治疗,要根据患者的具体情况,精准施治。”这是陈主任一直遵循的理念。陈主任常说:我们当医生,要多站在病人的角度考虑,尽量采用微创保守的治疗办法,严格掌握手术适应症,要为真正需要手术的病人手术。


