“医生,我的肝囊肿越来越大了怎么办?”焦心的姚女士在家人的陪伴下来到海宁康华医院肿瘤科主任、副主任医师王剑飞的办公室,手里拿着刚复检完的腹部B超报告。
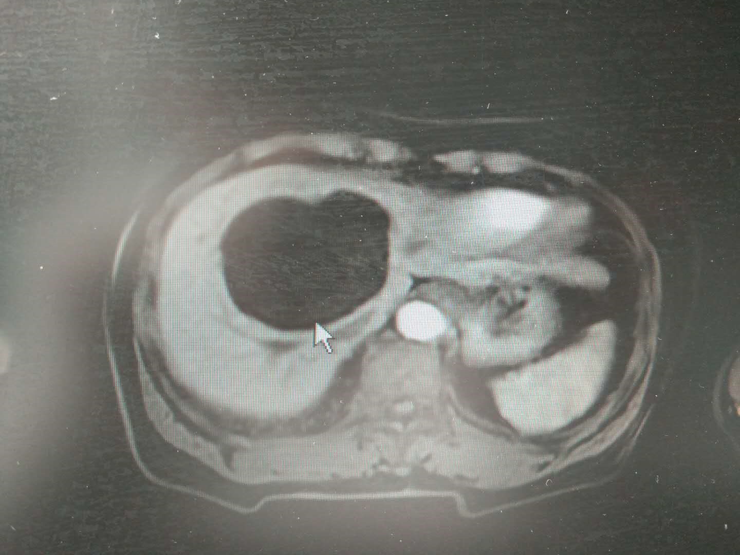
六年前体检时,姚女士被发现右肝患有囊肿,医生建议每年复查腹部B超观察变化,就这样,她眼看着囊肿直径从5.9cm*157.5px增大到了如今的204.99999999999997px*165px,终于忍不住了。

别担心,有办法
眼看姚女士与家人都忧心忡忡,王主任在了解病情后耐心安抚着:“别太担心,肝囊肿既不会影响肝功能,也不会发展为肝癌,一般没什么问题,如果人觉得不舒服或者实在担心,那也可以通过治疗干预,甚至动手术摘掉。”
“要手术么?”一听需要手术,姚女士原本有些好转的脸色又阴沉下来。
“别急,先听我说完”,王剑飞继续解释,“现在也能在B超引导下行肝囊肿硬化剂注射治疗,这是一种新的微创技术,能在保证创伤最小的情况下又尽量避免囊肿复发,是目前肝囊肿治疗的最佳选择。”
什么是肝囊肿硬化剂注射治疗?
硬化剂注射治疗肝囊肿是一种新型、有效、安全的技术,是目前肝囊肿患者的最佳选择。它采用局部麻醉的方式,在不切开腹部的情况下,只用一根针在彩超直视下进入囊腔内,抽出囊液,注入硬化剂。
较传统的穿刺抽液术而言,硬化剂注射治疗囊肿的效果更好,不易复发;较囊肿开窗术和囊肿大部切除术手术而言,它又具有创伤小、痛苦小、恢复快,安全系数高等优势。
既能解决囊肿问题,还不用吃大苦头,姚女士欣然同意王剑飞的建议,即刻办理了入院。6月4日,浙江省肿瘤医院超声介入科主任徐栋与康华医院肿瘤科医生黄忠炎共同为姚女士进行了治疗,4天后,她顺利出院了。


肝囊肿
肝囊肿是起源于肝内迷走胆管的一种滞留性囊肿,属于先天发育异常。它的生长一般较为缓慢,多数患者无症状,但巨大的肝囊肿可出现明显的压迫症状。合并感染可出现畏寒、发热、腹痛等类似于肝脓肿的病症。
肝囊肿的治疗视其大小、性质及有无并发症而定。一般直径大于125px,并出现压迫症状者则有手术指针。
肝囊肿饮食注意事项
1、多吃可提高免疫力的食物,如山药、乌龟、香菇、猕猴桃、无花果、苹果、沙丁鱼、蜂蜜、牛奶、猪肝等。
2、多食抗癌、抗肿瘤、增强免疫力的食物,补充足量蛋白质。
硒,铁含量丰富的菠菜,海类食品,鸡蛋等可适当多食,具有较好的抗癌防癌功效。山药、香菇、蜂蜜、猪肝,新鲜水果中的猕猴桃、苹果、葡萄等可提供机体所需的维生素及矿物质,增强机体免疫力,尽量控制囊肿生长缓慢。
大蒜具备很好的抗癌、防癌、助消化作用,可适当食用。
3、多吃富含维生素的食物,如新鲜的水果、蔬菜等,不仅可以为机体提供所需营养,还可起到辅助抗肿瘤、抗癌的作用。
4、饮食偏向清淡,不要食用辛辣刺激、油炸、烟熏性食物及发酵性食物。特别严禁烟酒,否则很可能加速囊肿生长。

